Sugerencias
Compartir
Información de la revista
Vol. 206. Núm. 10.
Páginas 485-490 (Noviembre 2006)
Compartir
Descargar PDF
Más opciones de artículo
Vol. 206. Núm. 10.
Páginas 485-490 (Noviembre 2006)
Tratamiento trombolítico del ictus isquémico agudo en un centro sin experiencia previa. Desarrollo de la organización interna y primeros resultados
Thrombolytic treatment in acute ischemic stroke in a center without previous experience. Development of internal organization and first results
Visitas
36299
J. Masjuan Vallejoa, M. Alonso de Leciñana Casesa, N. García Barragána, B. Zarza Sanza, M. Díaz Sáncheza, J C. Martínez Castrilloa, I. Corral Corrala
a Servicio de Neurología. Hospital Ramón y Cajal. Madrid. España.
Este artículo ha recibido
Información del artículo
Resumen
Texto completo
Bibliografía
Descargar PDF
Estadísticas
Tablas (6)
TABLA 1. Criterios de tratamiento trombolítico en el infarto cerebral agudo de menos de 3 horas de evolución
Tablas
TABLA 2. Clasificación de las transformaciones hemorrágicas
Tablas
TABLA 3. Características basales
Tablas
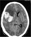
Fig. 1. Tomografía axial computarizada craneal realizada a las 8 horas de administrarse el t-PA en un paciente con un ictus isquémico de arteria cerebral media derecha, donde se observa un voluminoso hematoma parenquimatoso tipo 2 en región frontoparietal derecha.
Tablas
TABLA 4. Resultados
Tablas
TABLA 5. Eficacia y seguridad del tratamiento con t-PA en diversos estudios y registros
Tablas
Mostrar másMostrar menos
Introducción. El tratamiento del infarto cerebral agudo de menos de tres horas de evolución con activador del plasminógeno tisular (t-PA) ha sido recientemente aprobado por la Agencia Europea del Medicamento. Presentamos el desarrollo de una organización interna para el tratamiento trombolítico del ictus en un centro sin experiencia previa y los resultados de los dos primeros años. Pacientes y método. Desarrollo del programa de formación para el personal involucrado, del sistema de organización intrahospitalaria y de los protocolos de atención conjunta entre los servicios que intervienen. Registro prospectivo de todos los pacientes con ictus agudo tratados con t-PA en el período 1/2004-2/2006. Se recogen variables demográficas, escalas de evaluación del déficit neurológico (NIHSS), demora en la aplicación del tratamiento, mortalidad a los 7 días y tres meses, transformación hemorrágica sintomática, complicaciones hemorrágicas sistémicas, independencia funcional a los tres meses, mejoría significativa precoz y empeoramiento significativo. Resultados. Se trataron 53 pacientes. Edad media: 65 ± 13 años; 56% mujeres. NIHSS pretratamiento: 14 ± 4,7. Tiempo medio de llegada: 62 ± 40 minutos; tiempo puerta-aguja: 68 ± 22 minutos, y tiempo ictus-tratamiento: 130 ± 31 minutos. Transformación hemorrágica sintomática: 5,8%. Hemorragias sistémicas: 3,8%. Mortalidad a los 7 días: 5,6%; a los tres meses: 15,1%. Mejoría clínica significativa: 51%. Deterioro neurológico significativo: 7,5%. Independencia funcional a los tres meses: 51%. Conclusión. El tratamiento trombolítico del ictus agudo de menos de tres horas es seguro y eficaz cuando es administrado por neurólogos con formación específica en este tratamiento.
Palabras clave:
ictus, trombólisis, activador del plasminógeno tisular, unidad de ictus, SITS-MOST
Background and objective. Treatment of acute ischemic stroke within three hours with intravenous tissue-type plasminogen activator (t-PA) has been recently approved by the European Drug Agency. We present the development of an internal organization system that has permitted thrombolytic treatment in our center without previous experience as well as the results of the first year. Patients and method. Development of the thrombolysis educational program for the staff informed, of the internal organization system, and combined care protocols among the participating services. Prospective registry of patients treated with t-PA within the period 1/2004-2/2006. We collected demographic data, stroke assessment scales score (NIHSS), time to treatment, seven day and three months mortality, symptomatic hemorrhagic transformation, systemic bleedings, functional independency at three months, early significant improvement and significant deterioration. Results. Fifty-three patients were treated. Mean age: 65 ± 13 years; 56% women. Mean NIHSS pre-treatment: 14 ± 4.7. Mean time to hospital arrival: 62 ± 40 minutes; door-to-treatment: 68 ± 22 minutes, and mean time from stroke onset to treatment: 130 ± 31 minutes. Symptomatic hemorrhagic transformation: 5.8%. Systemic bleeding: 3.8%. Seven day mortality: 5.6%; three months mortality: 15.1%. Early significant improvement: 51%. Significant neurological deterioration: 7.5%. Functional independency at three months: 51%. Conclusions. Treatment of acute ischemic stroke within three hours with intravenous t-PA is safe and is associated with a favourable outcome when it is applied by neurologists specifically trained in acute stroke management.
Keywords:
stroke, thrombolysis, intravenous tissue-type plasminogen activator, acute stroke unit, SITS-MOST

Artículo

Opciones para acceder a los textos completos de la publicación Revista Clínica Española
Socio
Si es usted socio de FESEMI siga los siguientes pasos:

Diríjase desde aquí a la web de la >>>FESEMI<<< e inicie sesión mediante el formulario que se encuentra en la barra superior, pulsando sobre el candado.

Una vez autentificado, en la misma web de FESEMI, en el menú superior, elija la opción deseada.

>>>FESEMI<<<

Suscriptor
Suscriptor de la revista

Si ya tiene sus datos de acceso, clique aquí.

Si olvidó su clave de acceso puede recuperarla clicando aquí y seleccionando la opción "He olvidado mi contraseña".
Suscribirse
Suscribirse a:

Revista Clínica Española

Comprar
Comprar acceso al artículo

Comprando el artículo el PDF del mismo podrá ser descargado

Comprar ahora
Contactar
Teléfono para suscripciones e incidencias
De lunes a viernes de 9h a 18h (GMT+1) excepto los meses de julio y agosto que será de 9 a 15h
Llamadas desde España
932 415 960
Llamadas desde fuera de España
+34 932 415 960
Email
Idiomas
Revista Clínica Española
Opciones de artículo
Herramientas